How Confydentz Dental is keeping you safe from Covid-19 -->
Know More
Request Appointment
095422 76777
Mon-Sat: 10am to 8:00pm, Sun: 10am to 4pm (Appointments Only)
Home
About us
About confydentz
Our Team
Dental Services
Dental Implants
Oral and Maxillofacial Surgery
Root Canal Treatments
Laser and Gum Therapy
Crowns, Bridges and Dentures
Children Dentistry
Cosmetic Dentistry
Braces Correction of Teeth Alignment
Jaw Corrective Treatment
Black Fungus - Mucormycosis
Smile Designing
Wisdom Teeth
Aligners
Case Reports
Oral and Maxillofacial Surgery
Dental Implant Case Reports
Tilted Implants, all on X
Corticobasal implants
Segments Few Teeth Case Reports
Single Tooth Case Reports
Clips & Braces Correction Of Teeth Case Reports
Laser & Gum Case Reports
Cosmetic Dentistry Case Reports
Children Dentistry Case Reports
Root Canal Case Reports
Black Fungus Case Reports
Our Facilities
Cone Beam CT Scan (CBCT Scan)
Gallery
Clinic Interiors
Our Patient Stories
Brochures
Treatment Costs
Dental Treatment Costs at Confydentz
Payment Mode
Blog
Contact
How Confydentz Dental is keeping you safe from Covid-19 -->
Know More
Request Appointment
095422 76777
10 AM to 6 PM
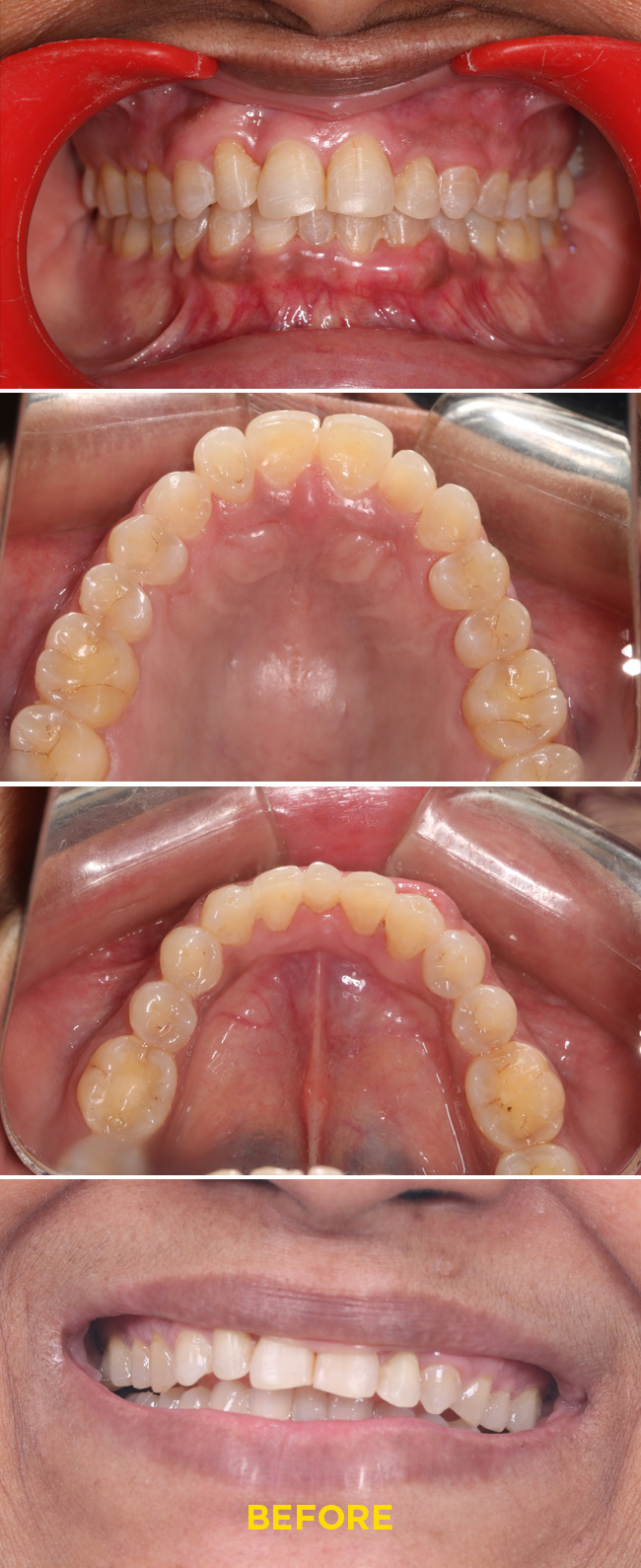
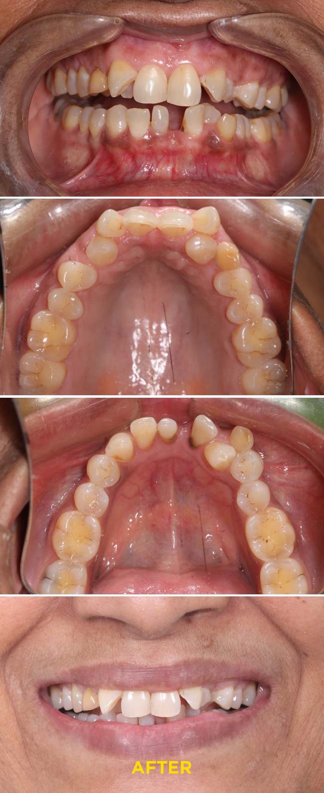
Clips & Braces Correction Of Teeth Case Reports
Home
Case Reports
Clips & Braces Correction Of Teeth Case Reports
Our Case Reports
Case - 1
Case - 2
Case - 3
Case - 4
Case - 5
Case - 6
Case - 7
Case - 8
Case - 9
Case - 10
Case - 11
Case - 12
Case - 13
×
Make an Appointment
Choose a Service
Dental Implants
Oral and Maxillofacial Surgery
Root Canal Treatment
Laser & Gum Therapy
Crowns , Bridges & Dentures
Children Dentistry
Cosmetic Dentistry
Braces & Correction of teeth alignment
Date & Time
Submit Appointment